Site: Back
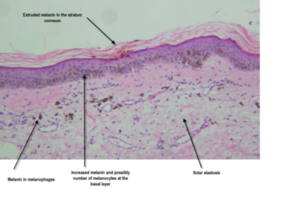
Diagnosis: Dysplastic Junctional Lentiginous Nevus
Sex: M
Age: 93
Type: Heine
Submitted By: Ian McColl
Description: Pigmented lesion back Labelled C Irregular outline and varying pigmentation clinically. This lesion has lines reticular with grey dots of regression and early polygons.
History:
This 93 years old man has severe solar damage with three atypical pigmented lesions on the back. This is the presentation of the labelled lesion C. I thought clinically this would be a melanoma but the histology was best described by the pathologist as dysplastic junctional lentiginous nevus. Other pathologists would describe this as lentiginous melanoma which I would tend to agree with.
View a YouTube video of this case and the two previous lesions from this patient.