Loading
TeleDermConsult-logo
  • Recent Submissions
  • Search
  • Diagnosis
  • Quiz
  • Image comparison
  • Submit
  • Teaching Cases
  • Index
  • About

<< Back to Diagnosis Page

Image Number #3295 (Pigmented solar keratosis)

Site: Leg

Diagnosis: Pigmented solar keratosis

Sex: M

Age: 57

Type: Heine

Submitted By: Ian McColl

View Full Size Image

Click Here to View Details
Click Here to View Details
Click Here to View Details

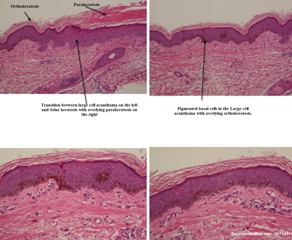
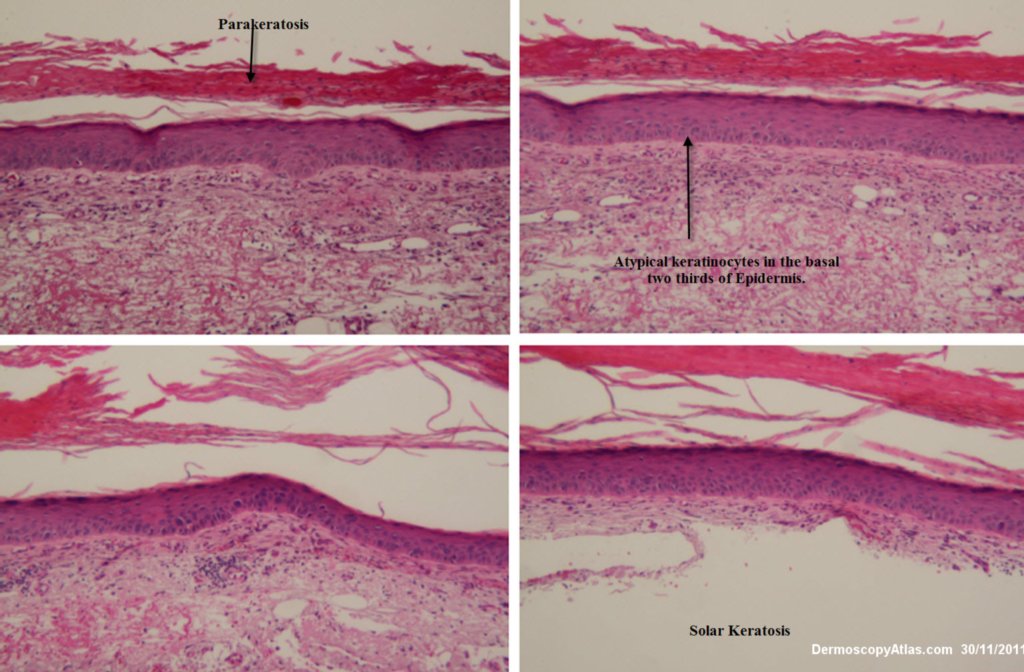
Description: Lesion on calf with pink and surrounding pigmented area

History:

This lesion was on a man's calf. The pink area was adjacent to a pigmented area. This combination of pink and brown always makes you consider melanoma especially with the white lines in the pink area. Clinically the edge of the pink area might also suggest a porokeratosis. A large shave to include part of the pink and the brown areas revealed the pink area to be a solar keratosis and the pigmented area to be a large cell acanthoma. The latter is probably a seb k variant with keratinocytes about double the normal size and larger nucleii. Atypia though is unusual and there is orthokeratosis of the overlying stratum corneum rather than parakeratosis.

DermNetNZ   eMedicine   PubMed   Dermatology Online   Archives   JAAD for "Pigmented solar keratosis"

  • Recent Submissions
  • Search
  • Diagnosis
  • Quiz
  • Image comparison
  • Submit an Image
  • Teaching Cases
  • Index
  • About

Copyright 2022. Dermoscopy Atlas. ALL Rights Reserved.

Change Image