Site: Forehead
Diagnosis: Atypical Lentigo
Sex: M
Age: 73
Type: Heine
Submitted By: Ian McColl
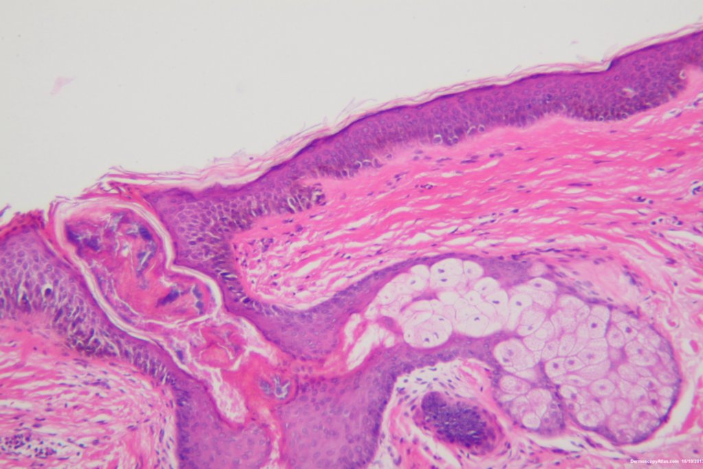
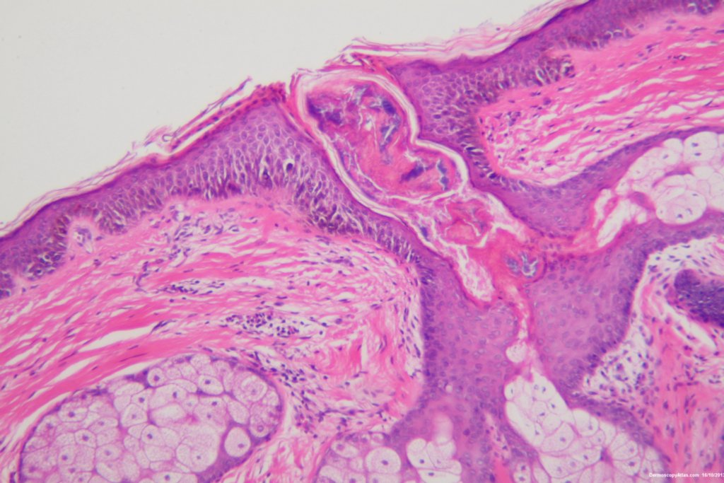
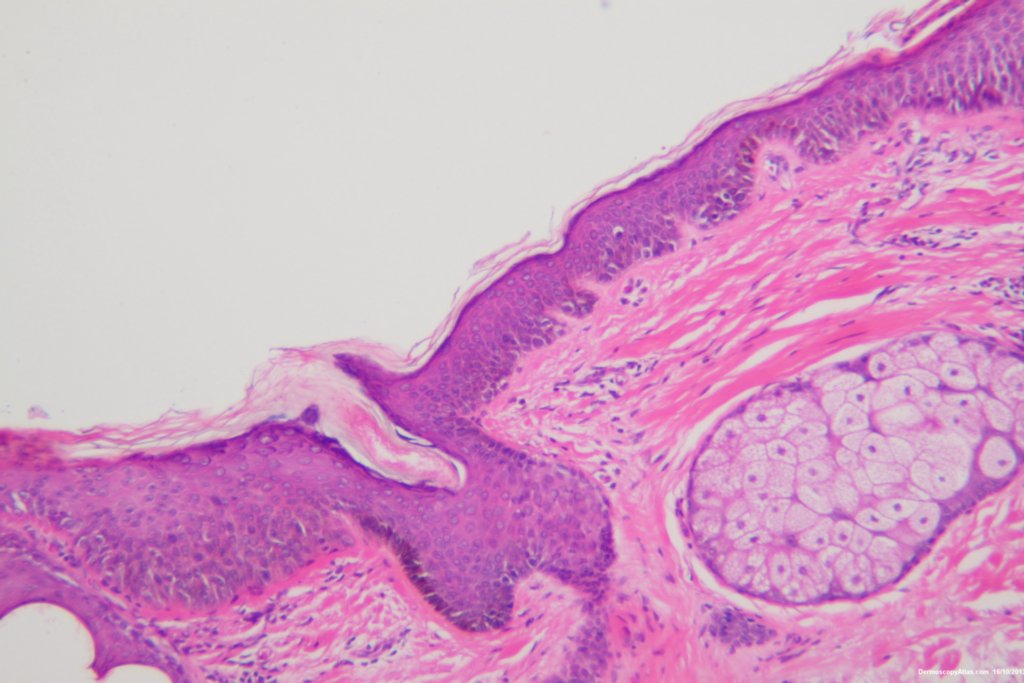
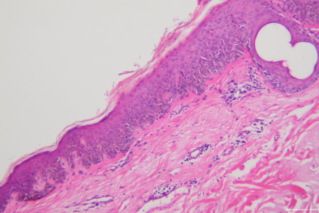
Description: Pigmented area forehead
History:
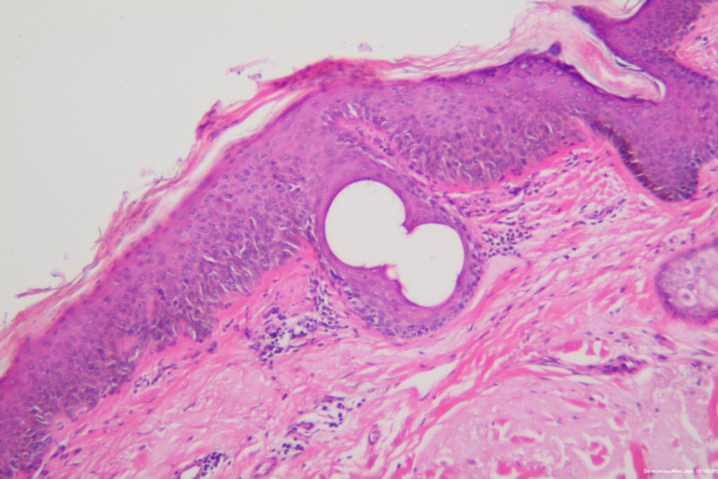
This lesion has been slowly growing for at least 5 years. It has been examined dermatoscopically on several ocassions in that time and left but last visit it was noted to have several small areas of colour change and some early grey circles dermatoscopically. Grey circles suggest melanocytic involvement of hair follicles which is an early feature of Lentigo maligna. The pathologist reported this as an atypical lentigo saying there were insufficient features to diagnose a lentigo maligna or melanoma in situ. Other pathologists might disagree with this when you see the increased numbers of atypical melanocytes along the DEJ and the involvement of the infundibulum of several of the follicles. This was shaved off but the atypical melanocytes came to the edge of the shave.
View
This is not the same as an atypical solar lentigo which is a keratinocytic lesion with increased melanin in keratinocytes but no increase in melanocytes. The term Unstable Lentigo should also be avoided. If you were going to call it Atypical anything then Atypical Lentigo Simplex would help to indicate its melanocytic origin. Personally I think this is a lentigo maligna.