Loading
TeleDermConsult-logo
  • Recent Submissions
  • Search
  • Diagnosis
  • Quiz
  • Image comparison
  • Submit
  • Teaching Cases
  • Index
  • About

<< Back to Diagnosis Page

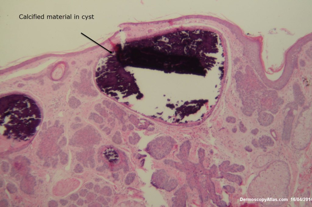
Image Number #3348 (Trichoepithelioma)

Site: Cheek

Diagnosis: Trichoepithelioma

Sex: M

Age: 45

Type: Dermlite Polarised

Submitted By: Ian McColl

View Full Size Image

Click Here to View Details
Click Here to View Details
Click Here to View Details

Description: Lesion on cheek White clods and sharp linear branching vessels

History: This lesion was noted on the face. Clinically it was felt to be a BCC with milium cysts but the histology suggested a trichepithelioma with calcified cysts. The latter can also be seen in some BCCs. This was a solitary lesiuon. The desmoplastic trichoepithelioma usually has much smaller strands of cells in a more fibrotic stroma. The BCC with follicular differentiation usually has some perilesional clefting.

DermNetNZ   eMedicine   PubMed   Dermatology Online   Archives   JAAD for "Trichoepithelioma"

  • Recent Submissions
  • Search
  • Diagnosis
  • Quiz
  • Image comparison
  • Submit an Image
  • Teaching Cases
  • Index
  • About

Copyright 2022. Dermoscopy Atlas. ALL Rights Reserved.

Change Image