Loading
TeleDermConsult-logo
  • Recent Submissions
  • Search
  • Diagnosis
  • Quiz
  • Image comparison
  • Submit
  • Teaching Cases
  • Index
  • About

<< Back to Diagnosis Page

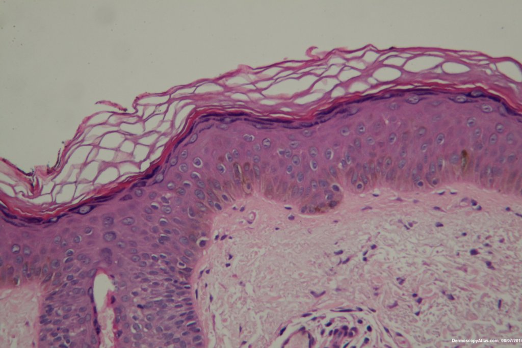
Image Number #3354 (Lentigene)

Site: Cheek

Diagnosis: Lentigene

Sex: F

Age: 44

Type: Dermlite Polarised

Submitted By: Ian McColl

View Full Size Image

Click Here to View Details
Click Here to View Details
Click Here to View Details
Click Here to View Details

Description: Enlarging brown patch on the cheek

History:

 This lady had a slowly growing pigmented lesion on her cheek . The clour was varying a bit. The dermatoscopy did not show grey circles or other features of early lentigo maligna. Her shave biopsy showed only increased melanin in basal keratinocytes. This was a lentigene. It was lasered off for cosmetic reasons.

DermNetNZ   eMedicine   PubMed   Dermatology Online   Archives   JAAD for "Lentigene"

  • Recent Submissions
  • Search
  • Diagnosis
  • Quiz
  • Image comparison
  • Submit an Image
  • Teaching Cases
  • Index
  • About

Copyright 2022. Dermoscopy Atlas. ALL Rights Reserved.

Change Image