Loading
TeleDermConsult-logo
  • Recent Submissions
  • Search
  • Diagnosis
  • Quiz
  • Image comparison
  • Submit
  • Teaching Cases
  • Index
  • About

<< Back to Diagnosis Page

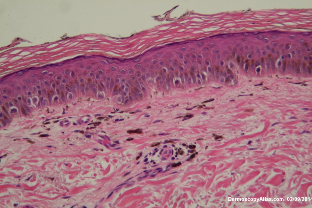
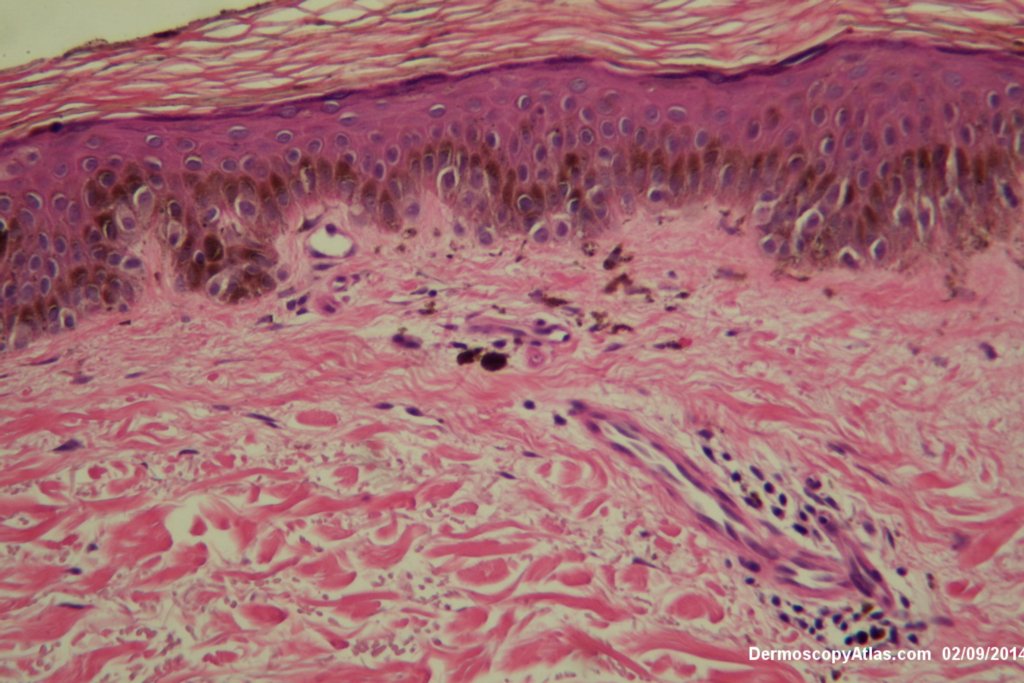
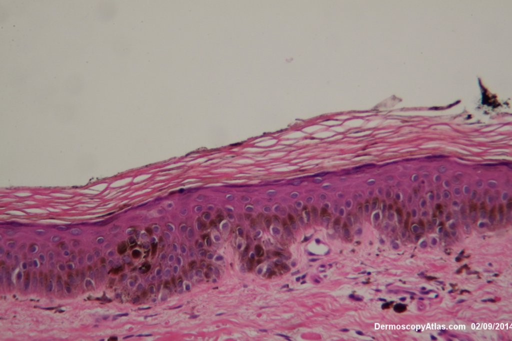
Image Number #3363 (Melanoma in situ)

Site: Ankle

Diagnosis: Melanoma in situ

Sex: M

Age: 70

Type: Dermlite Polarised

Submitted By: Ian McColl

View Full Size Image

Click Here to View Details
Click Here to View Details
Click Here to View Details
Click Here to View Details

Description: Pigmented macule at the ankle

History:

 This man has had a previous melanoma many years ago. This lesion had been present for two years on the akle but was considered chaotic under the dermatoscope and excised. It was reported as a melanoma in situ. Special stains were uised to show upward spread of melanocytes.

See the video to view a discussion of the pathology.

DermNetNZ   eMedicine   PubMed   Dermatology Online   Archives   JAAD for "Melanoma in situ"

  • Recent Submissions
  • Search
  • Diagnosis
  • Quiz
  • Image comparison
  • Submit an Image
  • Teaching Cases
  • Index
  • About

Copyright 2022. Dermoscopy Atlas. ALL Rights Reserved.

Change Image