Loading
TeleDermConsult-logo
  • Recent Submissions
  • Search
  • Diagnosis
  • Quiz
  • Image comparison
  • Submit
  • Teaching Cases
  • Index
  • About

<< Back to Diagnosis Page

Image Number #3368 (Reed nevus)

Site: Leg

Diagnosis: Reed nevus

Sex: F

Age: 51

Type: Heine

Submitted By: Ian McColl

View Full Size Image

Click Here to View Details
Click Here to View Details
Click Here to View Details
Click Here to View Details
Click Here to View Details

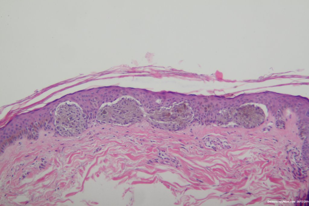
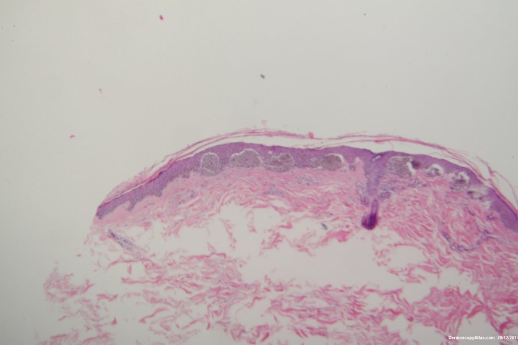
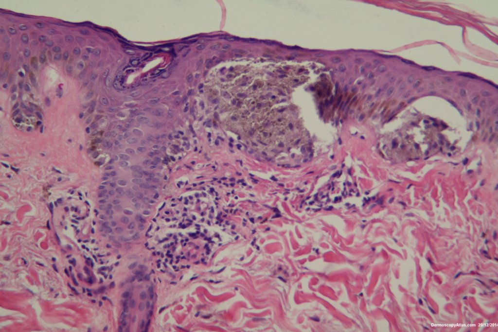
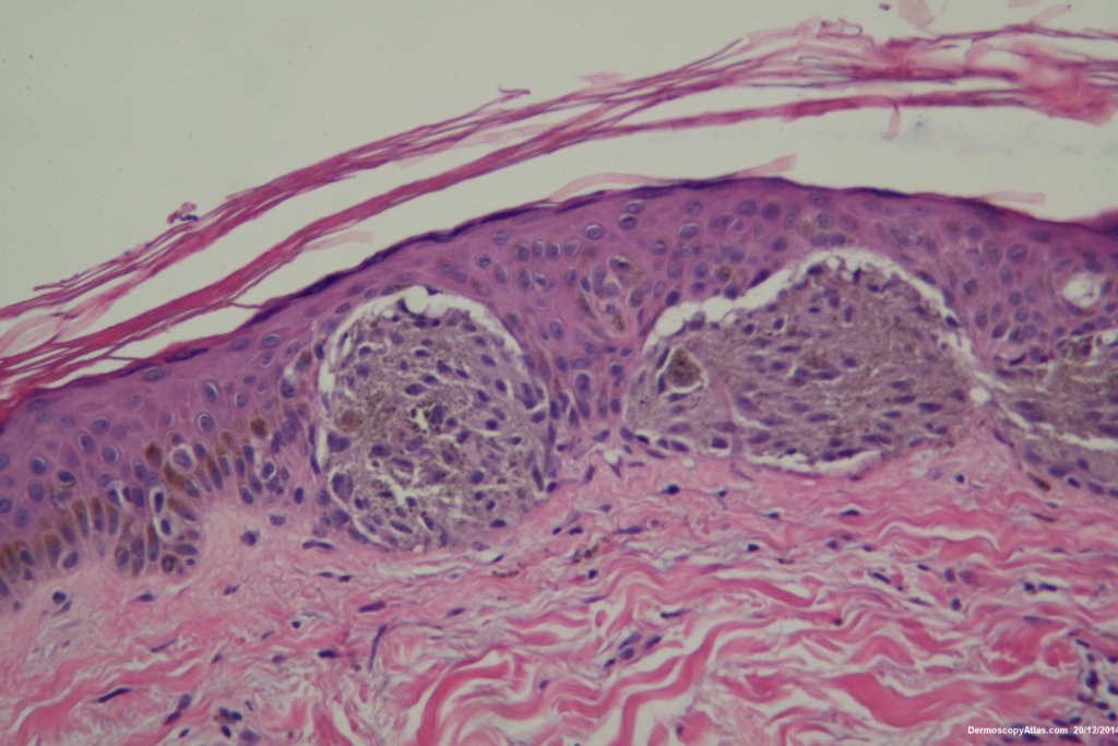
Description: Clod like lesion both peripherally and centrally

History:

This lady noted sudden onset of this dark pigmented lesion on her lower leg over a two month period. She had a past history of melanoma. 

The dermatoscopy shows dark clods of varying sizes both peripheral and central. These represent nests of rapidly growing melanocytes. The lesion is dark because the nests press high into the epidermis giving a black colour. Sometimes cells are extruded into the stratum corneum exagerating the dark colour.

The histopathology shows nests of epitheliod and spindled cells with lots of melanin in them. There are a few melanophages in the dermis. There is no inflammatory reaction beneath this lesion. There were no mitoses. This is just a junctional lesion ie no nests of cells in the dermis.

Reed nevi are benign lesions but appear rapidly and are very dark. In young children they can be left but in adults they should be excised. They typically are seen in females on the lower leg.

DermNetNZ   eMedicine   PubMed   Dermatology Online   Archives   JAAD for "Reed nevus"

  • Recent Submissions
  • Search
  • Diagnosis
  • Quiz
  • Image comparison
  • Submit an Image
  • Teaching Cases
  • Index
  • About

Copyright 2022. Dermoscopy Atlas. ALL Rights Reserved.

Change Image