Site: Back
Diagnosis: Nevus junctional dysplastic lentiginous
Sex: M
Age: 92
Type: Dermlite Polarised
Submitted By: Ian McColl
Description: Pigmented lesion back
History:
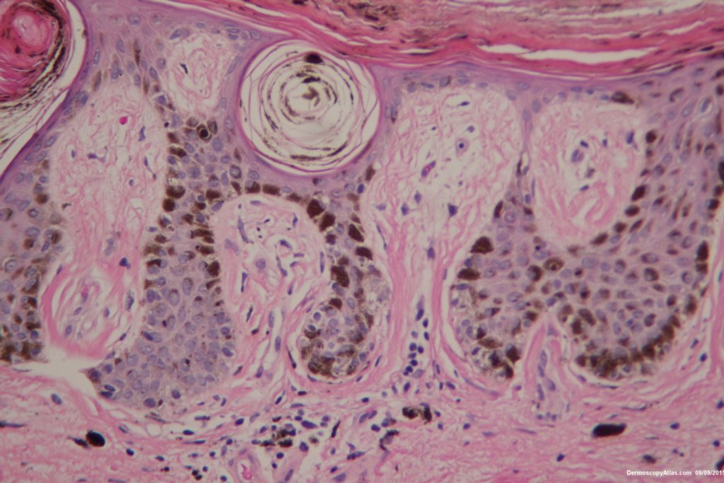
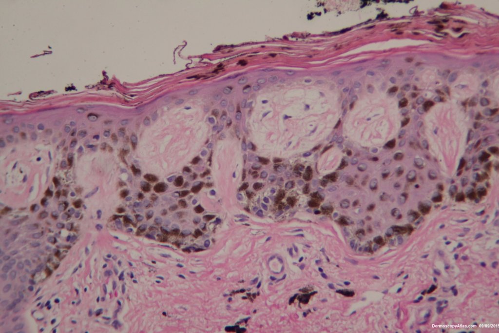
Patient aged 92 noted to have this new lesion on the lower back. Note the extruded melanin on the stratum corneum and the lentiginous spread of melanocytes at the dermo epidermal junction. The dermatoscopy is symmetrical with multiple central clods presumably from the pigment in the stratum corneum. Tape stripping would have helped here.
Reported as a benign dysplastic junctional nevus. Special stains failed to show any upward spread of the melanocytes.