Loading
TeleDermConsult-logo
  • Recent Submissions
  • Search
  • Diagnosis
  • Quiz
  • Image comparison
  • Submit
  • Teaching Cases
  • Index
  • About

<< Back to Diagnosis Page

Image Number #3464 (Melanoma in situ)

Site: Abdomen

Diagnosis: Melanoma in situ

Sex: M

Age: 67

Type: Dermlite Polarised

Submitted By: Ian McColl

View Full Size Image

Click Here to View Details
Click Here to View Details
Click Here to View Details
Click Here to View Details
Click Here to View Details

Description: Dermatoscopy

History:

 This lesion was noted on the abdominal wall during a routine skin examination. Again the patient had not been aware of it. 

Dermatoscopy showed a thickened network in areas with some loss centrally. There were a few radial segmental lines and a suggestion of grey. 

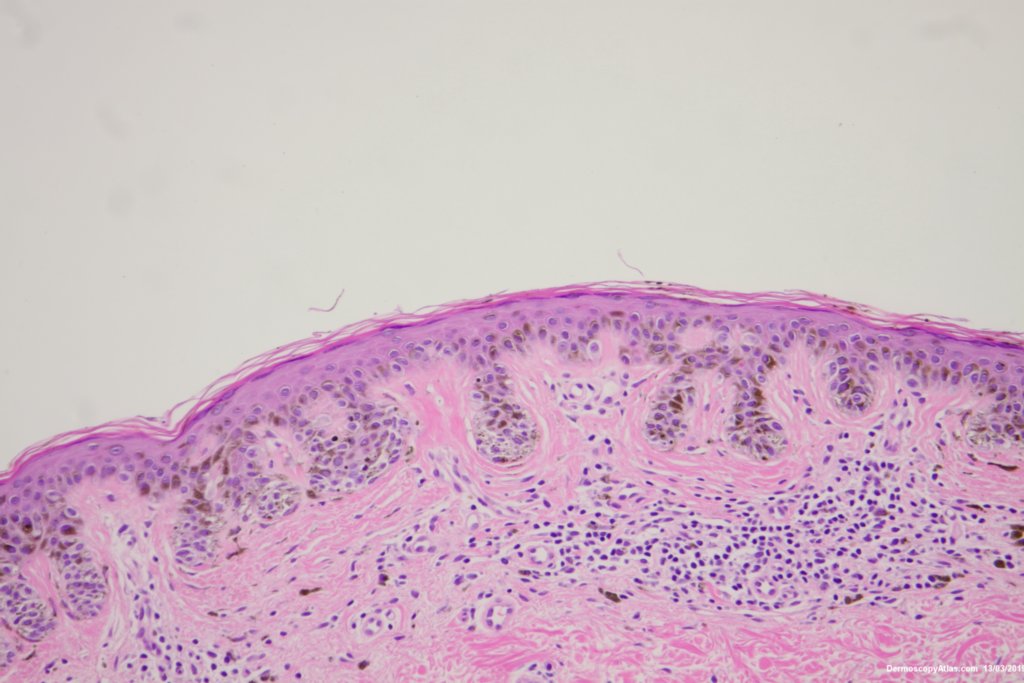
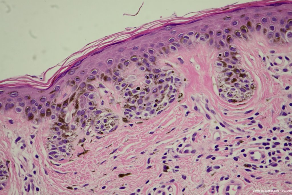
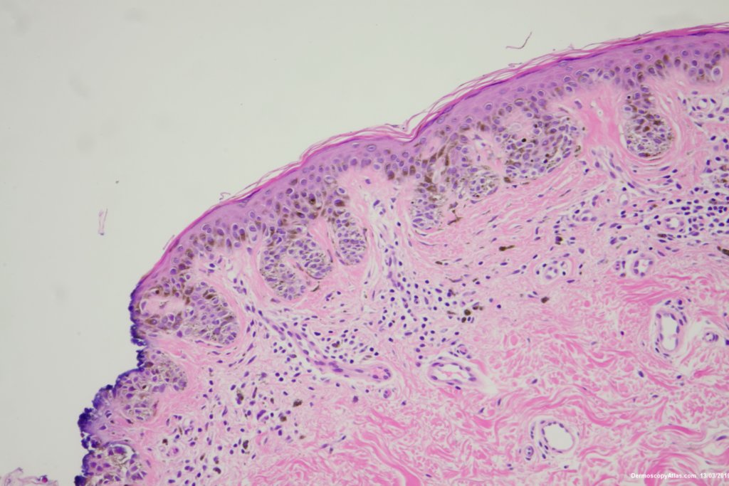
Histology showed an in situ melanoma with nests of atypical melanocytes in the rete ridges. No real pagetoid spread was seen.

Excision with 5 mm clinical margins after the initial shave biopsy.

DermNetNZ   eMedicine   PubMed   Dermatology Online   Archives   JAAD for "Melanoma in situ"

  • Recent Submissions
  • Search
  • Diagnosis
  • Quiz
  • Image comparison
  • Submit an Image
  • Teaching Cases
  • Index
  • About

Copyright 2022. Dermoscopy Atlas. ALL Rights Reserved.

Change Image