Loading
TeleDermConsult-logo
  • Recent Submissions
  • Search
  • Diagnosis
  • Quiz
  • Image comparison
  • Submit
  • Teaching Cases
  • Index
  • About

<< Back to Diagnosis Page

Image Number #3485 (Melanoma in situ)

Site: Shoulder

Diagnosis: Melanoma in situ

Sex: F

Age: 65

Type: Heine

Submitted By: Ian McColl

View Full Size Image

Click Here to View Details
Click Here to View Details
Click Here to View Details
Click Here to View Details
Click Here to View Details
Click Here to View Details
Click Here to View Details

Description: Clinical with varying colours

History:

 A lesion on the shoulder slowly changing. There are varying colours and the lesion seems to have a seborrhoeic keratosis at one pole.

The dermatoscopy shows grey dots of regression and the orange clods in the seb K but there is also some hemorrhage within the Seb k and pigment occluding part of it.

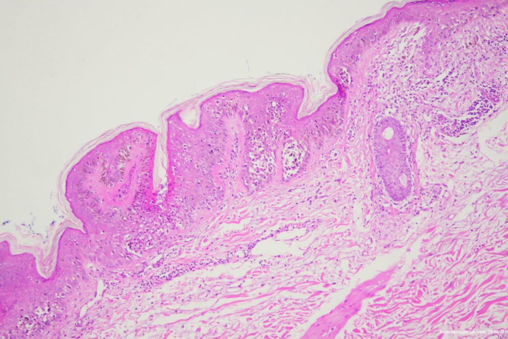
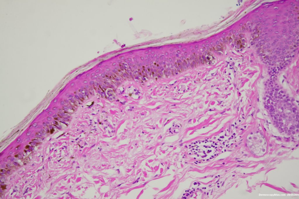
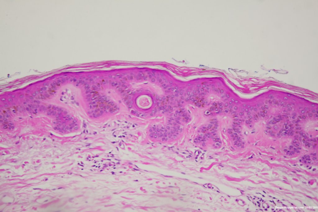
A shave biopsy removing the lesion was done. The histology showed a lentiginous proliferation of atypical basal melanocytes with a lymphocytic infiltrate and some melanin in melanophages causing the grey dots. There was also an in situ melanoma involving part of the seborrhoeic keratosis. 

See a more dertailed view of the histology as the 3rd case in the video below.

DermNetNZ   eMedicine   PubMed   Dermatology Online   Archives   JAAD for "Melanoma in situ"

  • Recent Submissions
  • Search
  • Diagnosis
  • Quiz
  • Image comparison
  • Submit an Image
  • Teaching Cases
  • Index
  • About

Copyright 2022. Dermoscopy Atlas. ALL Rights Reserved.

Change Image