Loading
TeleDermConsult-logo
  • Recent Submissions
  • Search
  • Diagnosis
  • Quiz
  • Image comparison
  • Submit
  • Teaching Cases
  • Index
  • About

<< Back to Diagnosis Page

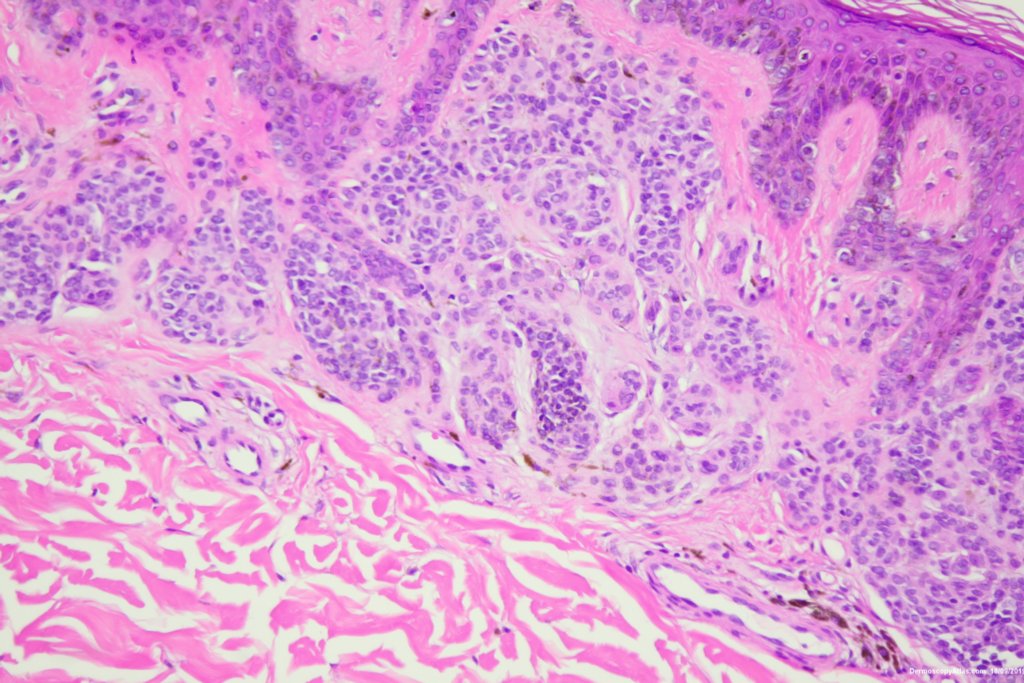
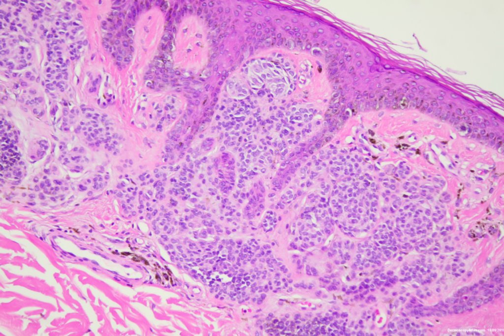
Image Number #3518 (Nevus compound)

Site: Abdomen

Diagnosis: Nevus compound

Sex: M

Age: 24

Type: Dermlite Polarised

Submitted By: Ian McColl

View Full Size Image

Click Here to View Details
Click Here to View Details
Click Here to View Details

Description: Some grey dots and thickened network

History:

 A pigmented lesion on the ankle which showed some grey dots suggesting regression and a slightly thickened network in parts. 

Histology showed a compound nevus with some pigment in melanophages in the dermis giving the grey.

DermNetNZ   eMedicine   PubMed   Dermatology Online   Archives   JAAD for "Nevus compound"

  • Recent Submissions
  • Search
  • Diagnosis
  • Quiz
  • Image comparison
  • Submit an Image
  • Teaching Cases
  • Index
  • About

Copyright 2022. Dermoscopy Atlas. ALL Rights Reserved.

Change Image