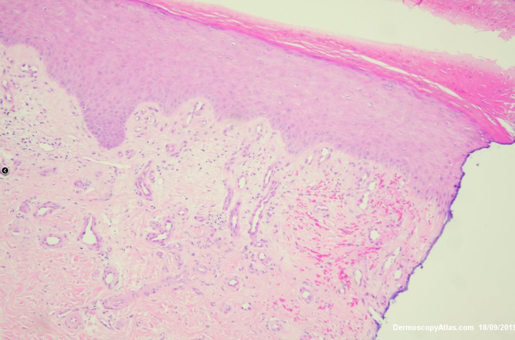
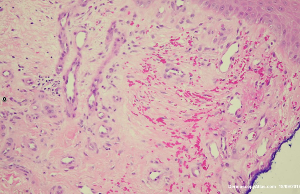
Site: Heel
Diagnosis: Stasis vascular proliferation
Sex: M
Age: 65
Type: Dermlite Polarised
Submitted By: Ian McColl
Description: Dermatoscopy of heel lesion
History:
Curious firm area on the heel that I thought was bleeding into a corn but there was stasis vascular proliferation in the dermis with some hemorrhage. I thought it might have been a talon noir or a wart but neither in the histology.