Loading
TeleDermConsult-logo
  • Recent Submissions
  • Search
  • Diagnosis
  • Quiz
  • Image comparison
  • Submit
  • Teaching Cases
  • Index
  • About

<< Back to Diagnosis Page

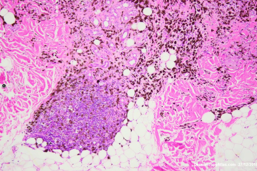
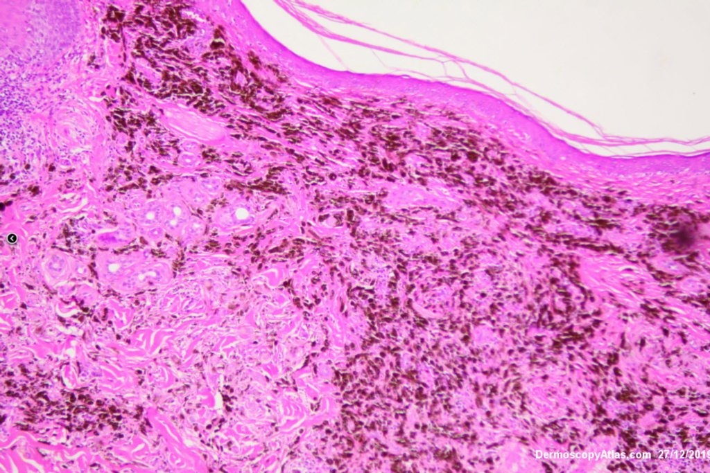
Image Number #3527 (Melanoma metastases)

Site: Cheek

Diagnosis: Melanoma metastases

Sex: M

Age: 92

Type: Dermlite Polarised

Submitted By: Ian McColl

View Full Size Image

Click Here to View Details
Click Here to View Details
Click Here to View Details
Click Here to View Details
Click Here to View Details

Description: Background brown lesion with blue macules and papules developing

History:

 This elderly man had a preceeding lentigo maligna but subsequently developed in transit metastases as shown by the blue macules and papules on his cheek. He was treated with Keytruda. PET scan was negative for spread elsewhere. 

It is important to treat lentigo maligna early to stop a situation like this from developing.

DermNetNZ   eMedicine   PubMed   Dermatology Online   Archives   JAAD for "Melanoma metastases"

  • Recent Submissions
  • Search
  • Diagnosis
  • Quiz
  • Image comparison
  • Submit an Image
  • Teaching Cases
  • Index
  • About

Copyright 2022. Dermoscopy Atlas. ALL Rights Reserved.

Change Image