Loading
TeleDermConsult-logo
  • Recent Submissions
  • Search
  • Diagnosis
  • Quiz
  • Image comparison
  • Submit
  • Teaching Cases
  • Index
  • About

<< Back to Diagnosis Page

Image Number #3539 (Seborrhoeic keratosis)

Site: Neck nape

Diagnosis: Seborrhoeic keratosis

Sex: M

Age: 82

Type: Heine

Submitted By: Ian McColl

View Full Size Image

Click Here to View Details
Click Here to View Details
Click Here to View Details
Click Here to View Details
Click Here to View Details
Click Here to View Details
Click Here to View Details

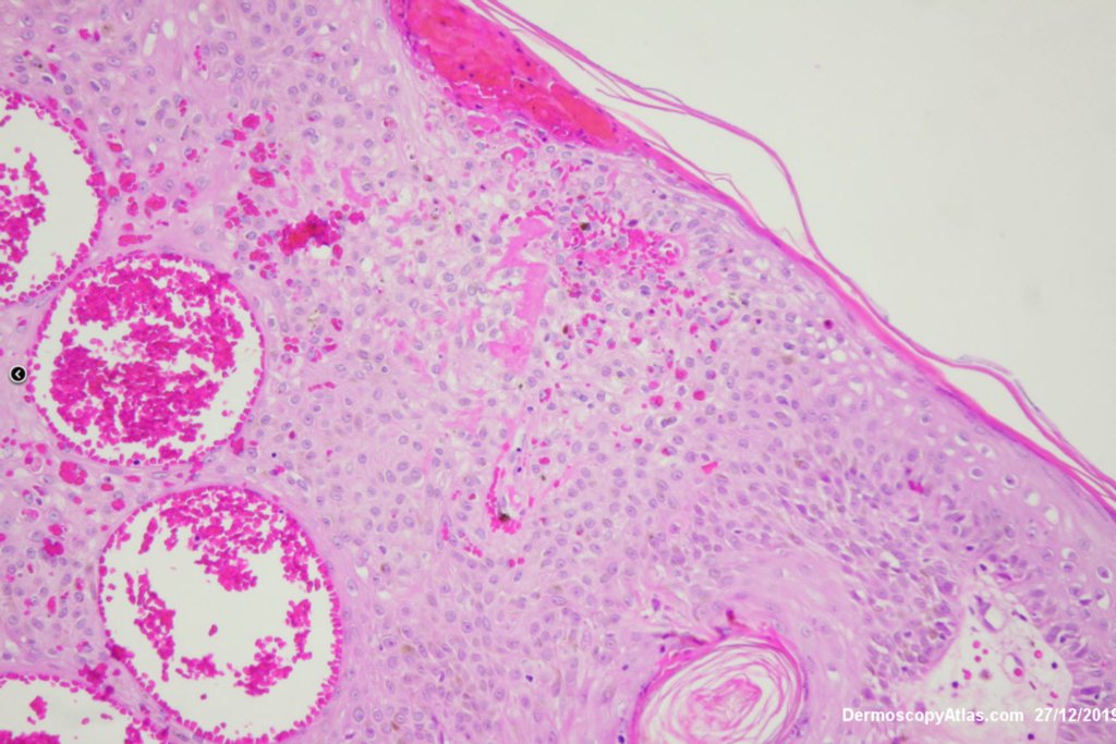
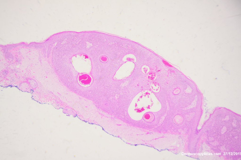
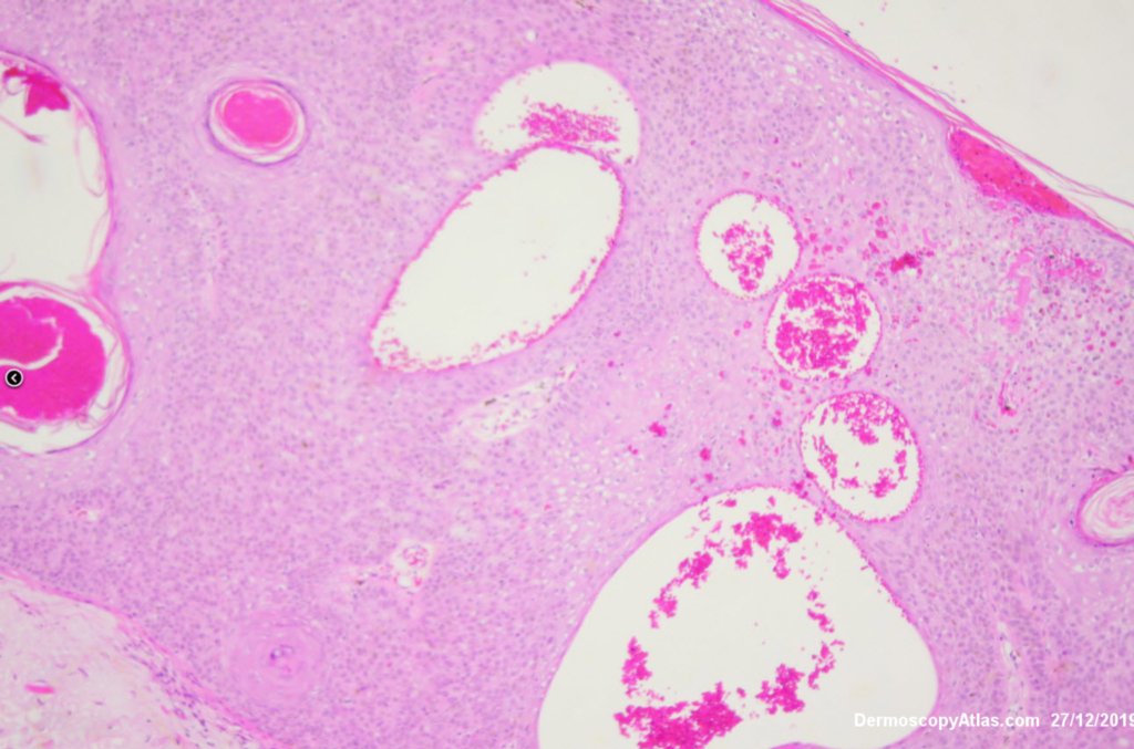
Description: Pigmented lesion on the neck

History:

 This lesion clinically looked like a melanoma to me. The dermatoscopy showed clods of various dark colours and also background vessel proliferation. It was suggestive of a seborrhoeic keratosis but the clotted blood like clods I had not seen before. The lesion was deep shaved.

 

The histology should a seborrhoeic keratosis with vascular spaces.

DermNetNZ   eMedicine   PubMed   Dermatology Online   Archives   JAAD for "Seborrhoeic keratosis"

  • Recent Submissions
  • Search
  • Diagnosis
  • Quiz
  • Image comparison
  • Submit an Image
  • Teaching Cases
  • Index
  • About

Copyright 2022. Dermoscopy Atlas. ALL Rights Reserved.

Change Image