Loading
TeleDermConsult-logo
  • Recent Submissions
  • Search
  • Diagnosis
  • Quiz
  • Image comparison
  • Submit
  • Teaching Cases
  • Index
  • About

<< Back to Diagnosis Page

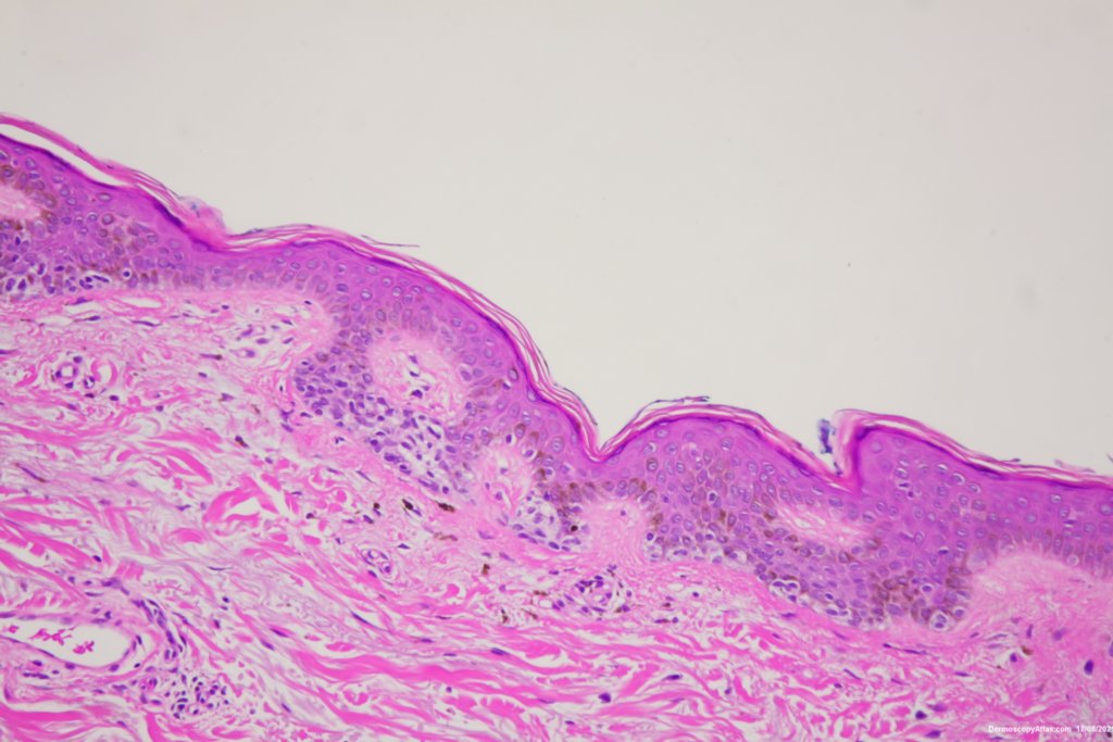
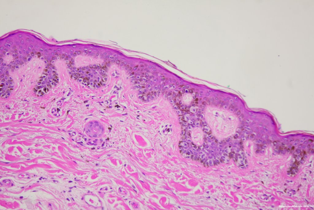
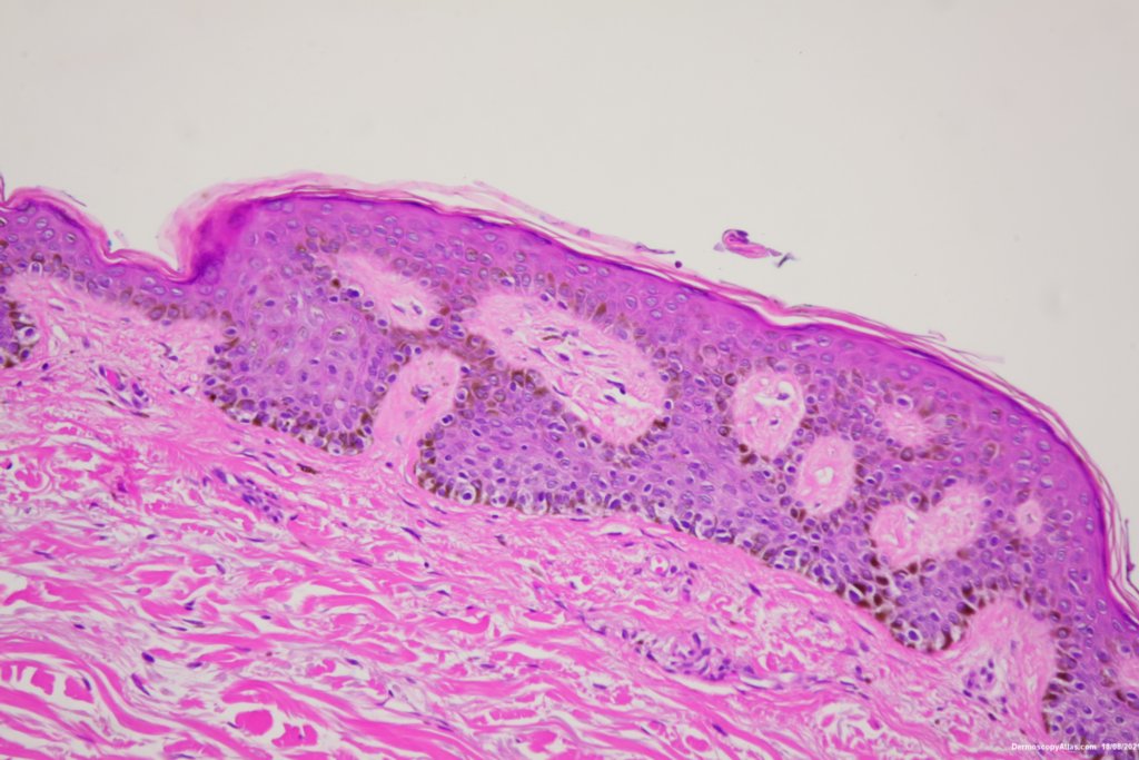
Image Number #3605 (Junctional lentiginous dysplastic nevus)

Site: Back

Diagnosis: Junctional lentiginous dysplastic nevus

Sex: M

Age: 75

Type: Dermlite Polarised

Submitted By: Ian McColl

View Full Size Image

Click Here to View Details
Click Here to View Details
Click Here to View Details
Click Here to View Details
Click Here to View Details
Click Here to View Details

Description: Lesion back dermatoscopy

History:

 

This lesion was noted on the back of a 75 year old male during a skin check. Dermatoscopically there was a pattern of lines curved and some grey dots.

This case  was reported as a lentiginous junctional nevus with some architectural features of an adjacent seb k. They did a Sox 10 on this as well. Minor compound component but no convincing malignant features. Now he is 75 years old so you could argue a benign lesion is unlikely. They did not do a PRAME on it . The shave removed it all. I am not going to pursue this further.

DermNetNZ   eMedicine   PubMed   Dermatology Online   Archives   JAAD for "Junctional lentiginous dysplastic nevus"

  • Recent Submissions
  • Search
  • Diagnosis
  • Quiz
  • Image comparison
  • Submit an Image
  • Teaching Cases
  • Index
  • About

Copyright 2022. Dermoscopy Atlas. ALL Rights Reserved.

Change Image