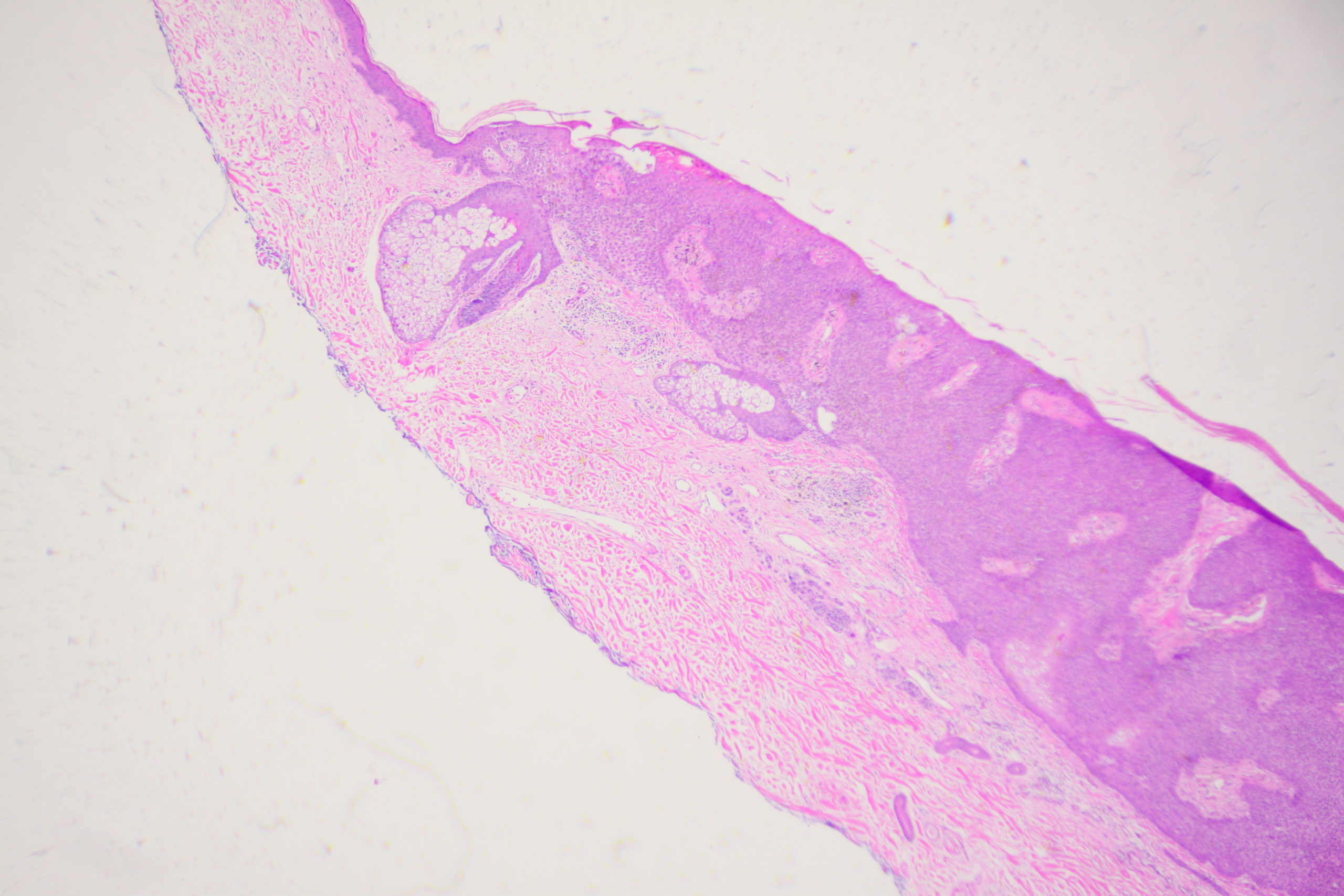
Site: Back
Diagnosis: Seborrhoeic keratosis irritated
Sex: M
Age: 72
Type: Dermlite Polarised
Submitted By: Ian McColl
Description: Dark blue blackish structureless areas surrounding paler center and white surface scales Broad coarse fatty brownish radial circumferential structures and black dots
History:
A man in his 70s with this pigmented lesion on his upper back noted during a skin check.I look carefully at all dark seb k like lesions because lentigo maligna can easily involve a seb k. However I am always concerned about missing a seb k like melanoma. What do you think of this one? Note the pink colour surrounding it.