Loading
TeleDermConsult-logo
  • Recent Submissions
  • Search
  • Diagnosis
  • Quiz
  • Image comparison
  • Submit
  • Teaching Cases
  • Index
  • About

<< Back to Diagnosis Page

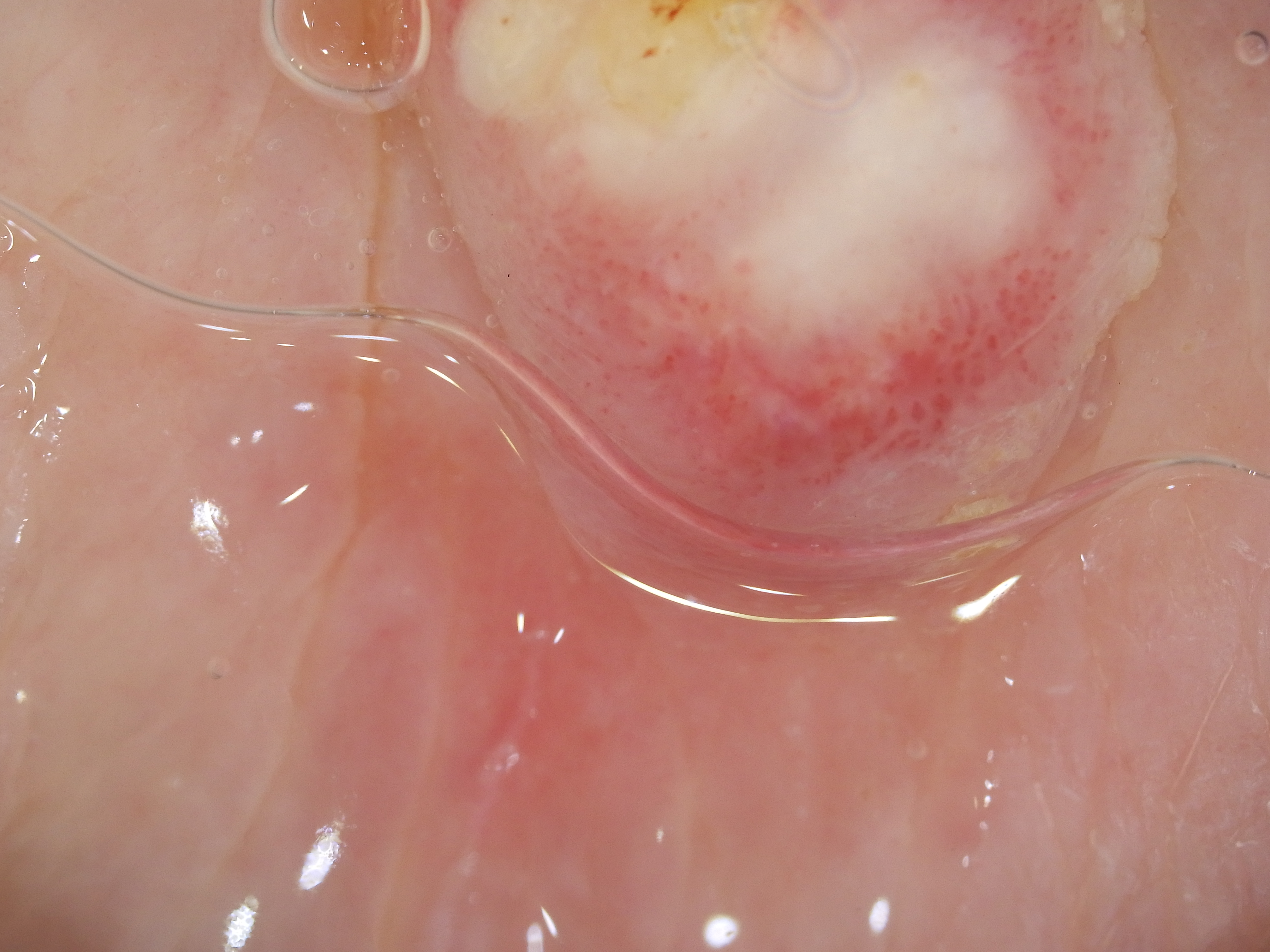
Image Number #3841 (Keratoacanthoma)

Site: Thigh

Diagnosis: Keratoacanthoma

Sex: F

Age: 99

Type: Dermlite Polarised

Submitted By: Ian McColl

View Full Size Image

Click Here to View Details
Click Here to View Details
Click Here to View Details
Click Here to View Details

Description: Firm rapidly growing nodule on the thigh

History:

This 99 years old lady developed this nodule on her thigh, It came up rapidly just after she ceaeased a Braf inhibitor drug for melanoma. It was reported as a keratoacanthoma. KAs and SCC like lesions are commonly seen in patients on Braf inhibitor drugs. 

Dermatoscopy of SCCs and keratoacanthomas   Dermatoscopy of solitary keratoacanthoma

 

DermNetNZ   eMedicine   PubMed   Dermatology Online   Archives   JAAD for "Keratoacanthoma"

  • Recent Submissions
  • Search
  • Diagnosis
  • Quiz
  • Image comparison
  • Submit an Image
  • Teaching Cases
  • Index
  • About

Copyright 2022. Dermoscopy Atlas. ALL Rights Reserved.

Change Image