Loading
TeleDermConsult-logo
  • Recent Submissions
  • Search
  • Diagnosis
  • Quiz
  • Image comparison
  • Submit
  • Teaching Cases
  • Index
  • About

<< Back to Diagnosis Page

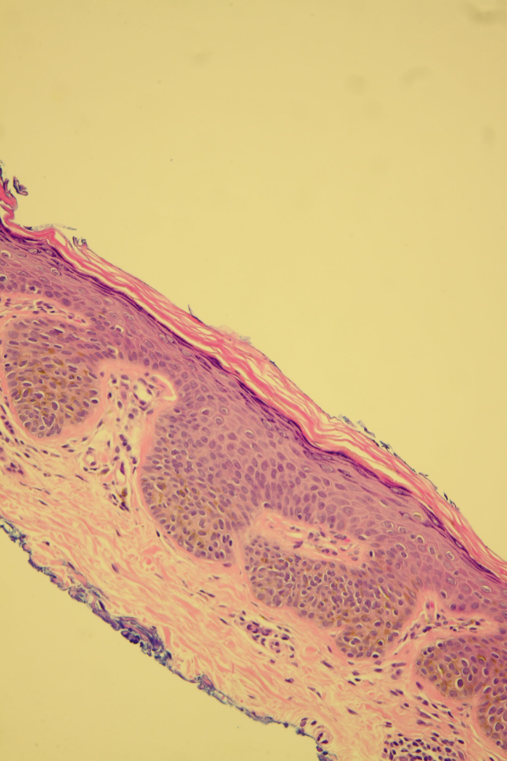
Image Number #3857 (Seborrhoeic keratosis)

Site: Thigh

Diagnosis: Seborrhoeic keratosis

Sex: F

Age: 55

Type: Dermlite Polarised

Submitted By: Ian McColl

View Full Size Image

Click Here to View Details
Click Here to View Details
Click Here to View Details
Click Here to View Details
Click Here to View Details
Click Here to View Details

Description: Pigmented lesion posterior thigh . Is there scaling on the surface?

History:

Unusual flat pigmented lesion noted on the posterior thigh in a female in her 50s with a past history of melanoma. I shaved it because I thought it was melanocytic. However the histology shows a pigmented seborrhoeic keratosis. 

DermNetNZ   eMedicine   PubMed   Dermatology Online   Archives   JAAD for "Seborrhoeic keratosis"

  • Recent Submissions
  • Search
  • Diagnosis
  • Quiz
  • Image comparison
  • Submit an Image
  • Teaching Cases
  • Index
  • About

Copyright 2022. Dermoscopy Atlas. ALL Rights Reserved.

Change Image