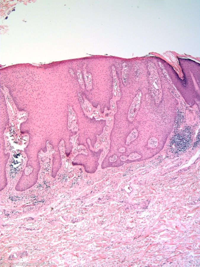
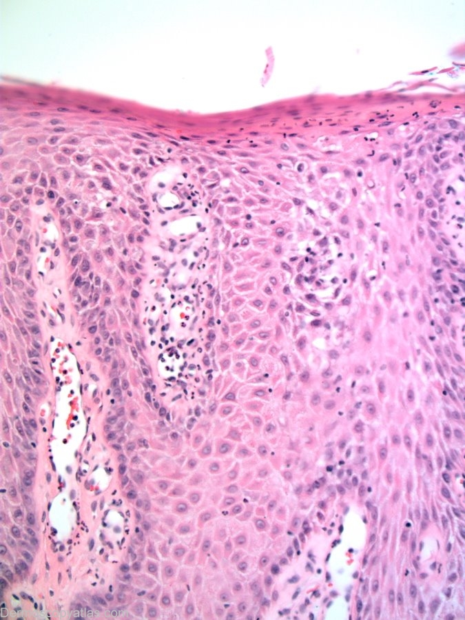
Site: Chest
Diagnosis: Clear cell acanthoma
Sex: M
Age: 56
Type: Heine
Submitted By: Ian McColl
Description: Lesion on the chest wall. Note the string of pearls vessels and the glycogen rich keratinocytes giving the lesion its histological clear colour.
History: Images courtesy of Dr Alan Cameron This lesion arose slowly over a 16 week period. There was no bleeding.
View the Blog discussion of this case