Loading
TeleDermConsult-logo
  • Recent Submissions
  • Search
  • Diagnosis
  • Quiz
  • Image comparison
  • Submit
  • Teaching Cases
  • Index
  • About

<< Back to Diagnosis Page

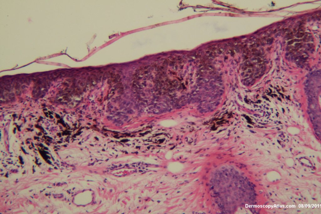
Image Number #3243 (Lentigo Maligna)

Site: Neck side

Diagnosis: Lentigo Maligna

Sex: M

Age: 82

Type: Dermlite Polarised

Submitted By: Ian McColl

View Full Size Image

Click Here to View Details
Click Here to View Details
Click Here to View Details
Click Here to View Details

Description: Marked perifollicular pigmentation

History:

This markedly pigmented area had grown over many years. The initial shave biopsy was reported as a dysplastic nevus with marked pigmentary incontinence but it was really a lentigo maligna as evidenced by the spread of atypical melanocytes down the hair follicle.

DermNetNZ   eMedicine   PubMed   Dermatology Online   Archives   JAAD for "Lentigo Maligna"

  • Recent Submissions
  • Search
  • Diagnosis
  • Quiz
  • Image comparison
  • Submit an Image
  • Teaching Cases
  • Index
  • About

Copyright 2022. Dermoscopy Atlas. ALL Rights Reserved.

Change Image