Loading
TeleDermConsult-logo
  • Recent Submissions
  • Search
  • Diagnosis
  • Quiz
  • Image comparison
  • Submit
  • Teaching Cases
  • Index
  • About

Diagnosis - Lentigo Maligna

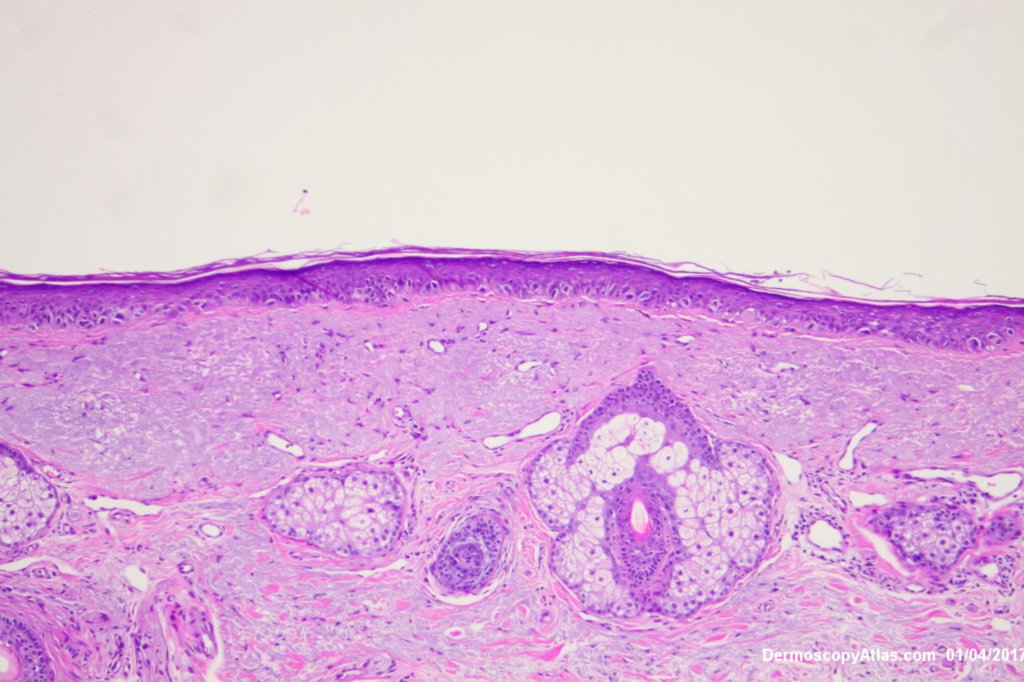
Diagnosis: Lentigo Maligna

View

Diagnosis: Lentigo Maligna

View

Diagnosis: Lentigo Maligna

View

Diagnosis: Lentigo Maligna

View

Diagnosis: Lentigo Maligna

View

Diagnosis: Lentigo Maligna

View

Diagnosis: Lentigo Maligna

View

Diagnosis: Lentigo Maligna

View

Diagnosis: Lentigo Maligna

View

Diagnosis: Lentigo Maligna

View

Diagnosis: Lentigo Maligna

View

Diagnosis: Lentigo Maligna

View

Diagnosis: Lentigo Maligna

View

Diagnosis: Lentigo Maligna

View

Diagnosis: Lentigo Maligna

View

Diagnosis: Lentigo Maligna

View

Diagnosis: Lentigo Maligna

View

Diagnosis: Lentigo Maligna

View

Diagnosis: Lentigo Maligna

View

Diagnosis: Lentigo Maligna

View

Diagnosis: Lentigo Maligna

View

Diagnosis: Lentigo Maligna

View

Diagnosis: Lentigo Maligna

View

Diagnosis: Lentigo Maligna

View

  • Recent Submissions
  • Search
  • Diagnosis
  • Quiz
  • Image comparison
  • Submit an Image
  • Teaching Cases
  • Index
  • About

Copyright 2022. Dermoscopy Atlas. ALL Rights Reserved.

Change Image