Loading
TeleDermConsult-logo
  • Recent Submissions
  • Search
  • Diagnosis
  • Quiz
  • Image comparison
  • Submit
  • Teaching Cases
  • Index
  • About

<< Back to Diagnosis Page

Image Number #3280 (Lentigo Maligna)

Site: Ear lobe

Diagnosis: Lentigo Maligna

Sex: M

Age: 86

Type: Dermlite Polarised

Submitted By: Ian McColl

View Full Size Image

Click Here to View Details
Click Here to View Details
Click Here to View Details
Click Here to View Details

Description: Pigmented lesion on the ear

History:

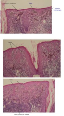
This elderly male had a pigmented lesion on his ear which was shown to be a lentigo maligna but surgery was refused. It progressed over 5 years as shown but remained a lentigo maligna or melanoma in situ. There is marked perifollicular pigmentation with black structureless areas where the melanoma has obliterated the follicles. Sometimes the terms annular granular structures and rhomboid figures are used along with asymmetrical perifollicular pigmentation to describe these earlier changes. In truth grey circles are often the earliest features of lentigo maligna particuarly on the face.

DermNetNZ   eMedicine   PubMed   Dermatology Online   Archives   JAAD for "Lentigo Maligna"

  • Recent Submissions
  • Search
  • Diagnosis
  • Quiz
  • Image comparison
  • Submit an Image
  • Teaching Cases
  • Index
  • About

Copyright 2022. Dermoscopy Atlas. ALL Rights Reserved.

Change Image